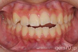
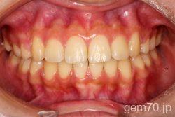
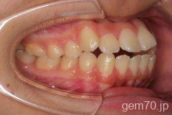
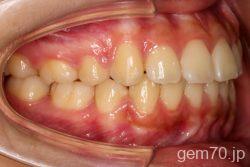
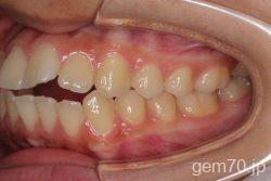
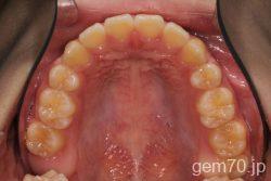
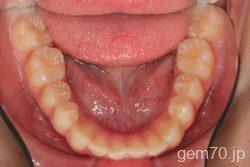
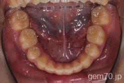
症状:開咬装置:セラミックブラケット | 抜歯世代:10代 | 高校生
主訴)前歯がかみ合わない
診断)開咬
年齢)18歳
使用装置)マルチブラケット装置
治療方法)抜歯 4|4/4|4
治療期間) 2年4ヵ月 通院回数 27回
治療費用) 中学生~大人 表側8o万円 (税別)
※一般的に矯正治療リスクとして、後戻り、歯根吸収、歯肉退縮、歯髄壊死、治療中の痛みや違和感、保定装置が必要、装置脱離や破損、・虫歯・歯周病のリスク増加、顎関節の症状等が考えられます。
治療期間 中学生以上約2年~2年半 小学生1~4第一段階(子供の矯正) 約1年~1年半
治療費用 中学生~大人 表側メタル80万 表側セラミック85万円 上だけ裏側下表側115万 上下裏側145万円
第一段階(子供の矯正)40~42万円
矯正治療期間は、歯を動かす距離(歯を移動する距離が多ければ時間がかかる)、骨の反応(同じように力をかけても年齢や性別、骨の性質によっては移動距離がかわる)、およびかみ合わせの完成度の高さ(かみ合わせをより細かく行えば期間が必要になる)によって変化します。
本治療は公的医療保険適用外の自由診療です。治療結果には個人差があります。
| 治療前 | 治療後 | |
|---|---|---|
![]() | ![]() | ![]() |
![]() | ![]() | ![]() |
![]() | ![]() | ![]() |
![]() | ![]() | ![]() |
![]() | ![]() | ![]() |
![]() | ![]() | ![]() |
※※※※※※※※※※※※※※※※※※※※※※※※※※※※※※※※※※※※※※※※※※※※※※※※※※※
日本橋人形町ジェム矯正歯科 〒103-0012 東京都中央区日本橋堀留町2-1-15 2F 電話 03-6661-9870
http://gem70.jp/ 平日10時30分~13時30分 15時30分~20時 ※日曜9時30分~13時(月1回)土・日・祝休診
無料矯正相談・無料カウンセリング受付中!歯並び、矯正装置のこと、お気軽にご相談ください。
無料相談ご予約:03-6661-9870 人形町駅1分 トータルフィー制の矯正歯科医院
※※※※※※※※※※※※※※※※※※※※※※※※※※※※※※※※※※※※※※※※※※※※※※※※※※※






















