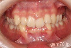
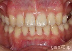
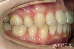
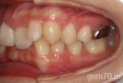
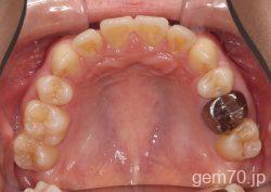
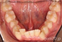
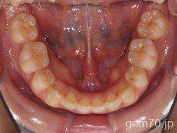
主訴)前歯のかみ合わせが深い
診断)過蓋咬合
年齢)21歳
使用装置)マルチブラケット装置(セラミックブラケット)
治療方法)4|4/4|4
治療期間) 2年8ヵ月 通院回数 32回
治療費用) 中学生~大人 表側矯正 80万円 (税別)
※一般的に矯正治療リスクとして、後戻り、歯根吸収、歯肉退縮、顎関節の症状等が考えられます。
| 治療前 | 治療後 | |
|---|---|---|
![]() | ![]() | ![]() |
![]() | ![]() | ![]() |
![]() | ![]() | ![]() |
![]() | ![]() | ![]() |
![]() | ![]() | ![]() |
![]() | ![]() | ![]() |
※※※※※※※※※※※※※※※※※※※※※※※※※※※※※※※※※※※※※※※※※※※※※※※※※※※
日本橋人形町ジェム矯正歯科 〒103-0012 東京都中央区日本橋堀留町2-1-15 2F 電話 03-6661-9870
http://gem70.jp/ 平日10時30分~13時30分 15時30分~20時 ※日曜9時30分~13時(月1回)土・日・祝休診
無料矯正相談・無料カウンセリング受付中!歯並び、矯正装置のこと、お気軽にご相談ください。
無料相談ご予約:03-6661-9870 人形町駅1分 トータルフィー制の矯正歯科医院
※※※※※※※※※※※※※※※※※※※※※※※※※※※※※※※※※※※※※※※※※※※※※※※※※※※






















