治療例
Case開咬
-
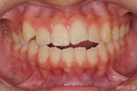
前歯がかみ合わない 10代女性
症状:開咬
装置:セラミックブラケット | 抜歯
世代:10代 | 高校生 -
上顎前突 開咬 20代女性
症状:上顎前突 | 叢生 | 開咬
装置:上だけ裏側 | 抜歯
世代:20・30代 -
開咬 高校生の矯正
症状:開咬
装置:セラミックブラケット | 抜歯
世代:10代 -
子供の矯正 開咬
症状:小児矯正 | 開咬
装置:セラミックブラケット
世代:小学生 小児矯正(第一期) -
オープンバイト 口元が出ている リンガルブラケット 20代
症状:上下顎前突 | 叢生 | 開咬
装置:上だけ裏側
世代:20・30代














