治療例
Case抜歯
-
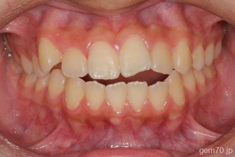
前歯がかみ合わない 10代女性
症状:開咬
装置:セラミックブラケット | 抜歯
世代:10代 | 高校生 -
上顎前突 開咬 20代女性
症状:上顎前突 | 叢生 | 開咬
装置:上だけ裏側 | 抜歯
世代:20・30代 -
前歯の隙間 歯が出ている 高校生女子
症状:上顎前突 | 空隙
装置:セラミックブラケット | 抜歯
世代:高校生 -
前歯のでこぼこ 30代女性
症状:叢生
装置:セラミックブラケット | 抜歯
世代:20・30代 -
叢生 反対咬合 30代男性
症状:下顎前突 | 叢生
装置:セラミックブラケット | 抜歯
世代:20・30代 -
出っ歯 中学生女子
症状:上顎前突
装置:セラミックブラケット | 抜歯
世代:10代 -
叢生 歯のでこぼこ 中学生女子
症状:叢生
装置:メタルブラケット | 抜歯
世代:10代 -
開咬 高校生の矯正
症状:開咬
装置:セラミックブラケット | 抜歯
世代:10代 -
口元を美しくさげる 30代女性 セラミックブラケット
症状:上顎前突 | 叢生
装置:セラミックブラケット | 抜歯
世代:20・30代 -
出っ歯 中学生女子
症状:上顎前突
装置:セラミックブラケット | 抜歯
世代:10代 -
叢生、八重歯 中学生女子
症状:叢生 | 小児矯正
装置:セラミックブラケット | 抜歯
世代:10代 -
子供の矯正 中学生 矮小歯
症状:上顎前突 | 小児矯正
装置:セラミックブラケット | 抜歯





















